CASE
18-03-22 | 외과적 정출

본문

 

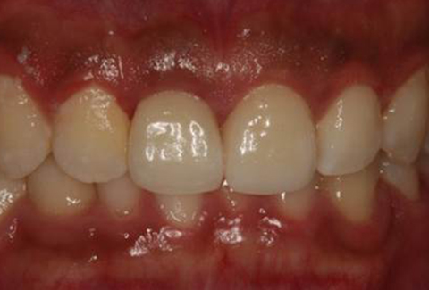
Before
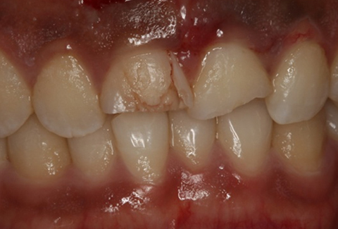
After

외과적 정출 


중간과정 ▼


ef0beece7b5337d778a3f80d638bb281_1526126321_0979.jpg


X-RAY 사진 ▼


ef0beece7b5337d778a3f80d638bb281_1526126350_9433.jpg